Valgus deformity of the first toe most often affects women of mature age, but also affects men.A deformed base of the thumb does not look aesthetically pleasing.In this case, the person feels physical discomfort, and in the advanced stage – pain.Big toe deviation is the result of uneven body load on the foot.These changes have a detrimental effect on the feet and other toes.
Causes of curvature

Hallux valgus does not occur for no apparent reason.This pathology appears and develops under the influence of various reasons.Hallux valgus most often affects people who are genetically predisposed to this disease.Doctors note the following causes of deformity of 1 toe:
- Excess body weight.
- Endocrine diseases.
- Osteoporosis.
- Flat feet.
- Diabetes mellitus.
- Psoriasis.
- Arthritis.
- Hormonal changes during pregnancy and old age.
- Wearing tight shoes.
- The specificity of the profession, forcing the person to endure more and more physical activity on their legs every day.
Stages and varieties
Doctors consider 3 stages of disease progression:
- Subtle valgus deviation.Redness appears on the skin, as well as small abrasions.Discomfort when walking.
- A growth is already clearly visible on the thumb.Swelling and pain are observed.
- This form of the disease is considered advanced.The person is bothered by constant and unbearable pain in the big toe and the entire foot, as well as the appearance of keratinized skin.The pain does not go away even during sleep.
The development of unpleasant hallux valgus is influenced by many factors.Experts have identified the following types of finger deformities as a separate category:
- Cross deformity.The curvature occurs in different directions.Fingers cross.
- Curvature of the joints to such an extent that they are always in a bent position.At the first stage of development of pathology, fingers can be forced to straighten with the help of hands.If treatment is not started at this time, your fingers will become so stiff that you will no longer be able to straighten them with your hands.Now it is impossible to do without surgery.
- Taylor deformity.Pathology that affects the little fingers.Characterized by the appearance of growth on the bones.
- Curvature of the phalanges, resembling hooks.

Experts include ballerinas at risk of developing hallux valgus.Dancing on your toes increases stress on your toes, which leads to their curling.Incorrect gait can also cause undesirable results.The provoking factors are even aggravated by age.
Diagnostic methods
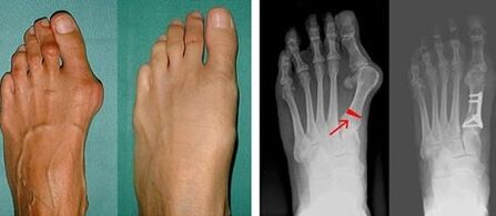
If the visual examination and x-rays do not give any results, the patient is referred for plantography to determine possible flat feet.This method involves taking impressions of the feet, from which shoes or insoles with orthopedic properties are made for the patient.The patient is then prescribed podometry.This method uses computer analysis to determine the pressure of a person's weight on the feet.The results of advanced diagnostics are the basis for choosing a treatment method for curvature of the first and second toes.
The disadvantage of radiographic examination is the need to irradiate the patient's legs, which many patients do not like.They think this is a very harmful method.In this regard, effective treatment of hallux valgus cannot be started without the results of plantography.

This is the best informative diagnostic method.With its help, the doctor determines not only the presence of flat feet, but also the condition of the arches of the feet.Computer examination is the most effective way to detect flat feet.
In the first stage of identifying valgus in the big toe and big toe, the doctor performs a visual examination.In this way, it determines the stage of development of the pathology.To identify detailed changes in the joints, x-rays and plantography are prescribed.
Drug therapy
It is better to start gentle treatment of the foot, as well as the big toe, before the final stage of pathology development occurs.Specialists know how to treat this pathology, but they do not know how to cure the advanced form of the disease without surgical intervention.First, doctors determine the cause of the curvature of the fingers, as well as the presence of complicating factors.As you know, the task of drug therapy includes symptomatic therapy.This means that pain, inflammation and swelling are eliminated.
Most often, patients are prescribed nonsteroidal anti-inflammatory medications.In addition to their main function, they reduce pain and fever.When complications occur, hormonal corticosteroids are often prescribed.If the deformation of the fingers is caused by diseases of the internal organs, the joints can be corrected after the underlying pathology has cured.In this case, endocrinologists are involved in the problem together with other highly specialized specialists.Many people try to cure themselves with folk remedies, forgetting that this is possible only at the initial stage of the development of pathology.
If the pathology is noticed at the initial stage, the crooked thumb is straightened with the help of devices - plastic or silicone pads with orthopedic properties.During treatment you should wear soft, roomy shoes.To straighten crooked toes, orthopedic insoles, arch supports and other correctors are used.Deformed fingers are fixed with special splints, rings, caps and combs.With the help of such devices, the fingers are fixed in the correct position.Thanks to orthopedic fixators, the development of new deformations of the fingers is stopped.
There are two ways to treat hallux valgus.The first is the painless correction of the deformity that does not require surgical intervention and rehabilitation, the second is surgical treatment.
Surgical treatment methods

Complete healing of hallux valgus is only possible with the help of the surgeon's scalpel.Sometimes all it takes is one operation and the patient forgets the problem forever.The doctor performs the surgical intervention taking into account the type of hallux valgus deformity.The most common types of operations are:
- Exostectomy.Only a certain portion of the metatarsal bone is removed.
- Resection arthroplasty.The final part of the metatarsal bone is removed.
- Osteotomy.It is used to remove the metatarsal bone, as well as a small element of the phalanx.
- Resection.The operation aims to remove the affected soft tissue and then transplant healthy tissue in its place.
- Arthrodesis.Provides forced immobility of the joints.
- Distal osteotomy.The operation involves reducing the angle between the joints.
- Removal of the inflamed bursa of the big toe.
- Installation of implants.
The rehabilitation period after surgery can last up to seven weeks.During these weeks, special preventive measures are usually carried out.Firstly, they are therapeutic exercises that promote:
- improve health status;
- reducing pain when walking;
- increasing the tone of the leg muscles;
- installation and fixation of the deformed joint in its natural position.
The duration of the rehabilitation period most often depends on the complexity of the operation.To speed up recovery, you should start moving your fingers the next day.After a week, the patient can get up and, being careful, move slowly.The main thing is to avoid prolonged stress.
After the operation, you will need high-quality soft and roomy shoes.It is purchased on the recommendation of a doctor.By the way, if you start doing therapeutic exercises at the very beginning of the development of hallux valgus, you can do not only without surgical intervention, but also without wasting money on various devices, ointments and medications.
Experts say that the surgical treatment option gives almost one hundred percent positive results.This gentle treatment method does not require anesthesia and does not cause stress or psychological distress.However, painless treatment methods are not able to save a person from the last stage of the disease.
Preventive measures

Preventive measures are quite simple - wear comfortable shoes with a wide toe, the inside of which does not press the toes.Joints in particular and feet in general are capable of supporting the weight accumulated during human growth without causing damage.Therefore, it is very important to monitor body weight to avoid obesity.
One of the effective preventive exercises is the following: a person, sitting on a chair with his feet on the floor, moves them with his fingers.
The next exercise involves walking barefoot on the floor, alternately on toes and heels.
Simple gymnastics is mastered quickly, which gives rise to more complex physical exercises.You can then perform actions like picking up a pencil or any other object from the floor.
It is better to prevent deformation of the thumb than to subsequently stand in queues in medical institutions to receive medical recommendations on choosing an effective treatment.























